Ιατρική Εμβρύου

Σας καλωσορίζουμε στο Ιατρείο Εμβρυικής Ιατρικής και Προγεννητικού Ελέγχου στη Λ. Αλεξάνδρας (Mamalis Fetal Medicine).

 

Προσφέρουμε εξειδικευμένη και εξατομικευμένη φροντίδα στην έγκυο και το μωρό της, εφάμιλλη γνωστών κέντρων του εξωτερικού, όπως το King’s College Hospital στο Λονδίνο και το Universitätsklinikum Giessen & Marburg στη Γερμανία, στα οποία εξειδικεύτηκε ο Dr. med. univ. Μάριος Μάμαλης κατά τη δεκαετή του παραμονή στο εξωτερικό.

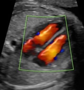
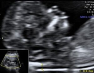
Στο κέντρο μας διενεργείται ο πλήρης υπερηχογραφικός έλεγχος που μπορεί να απαιτηθεί κατά τη διάρκεια της κύησης καθώς και επεμβατικός έλεγχος με βιοψία χοριακών λαχνών και αμνιοπαρακέντηση. 

Οι εξετάσεις αυτές προσφέρουν στο γυναικολόγο σας πολύτιμες πληροφορίες που τον διευκολύνουν στην παρακολούθηση της κύησης, χωρίς σε καμία περίπτωση να τον υποκαθιστούν.

Όλες οι υπερηχογραφικές και επεμβατικές εξετάσεις πραγματοποιούνται σε ένα φιλικό και ήρεμο περιβάλλον με εξοπλισμό τελευταίας τεχνολογίας. 

Εξετάσεις

Life begins before birth

Επικοινωνήστε μαζί μας

Λ. Αλεξάνδρας 217 και Έσλιν, Αθήνα

Φωτογραφίες ιατρείου